Contacto
Quienes Somos
Reseña Hospital del Salvador
Departamento de Cirugía Oriente U. de Chile
Breve Historia Alma Mater
Maestros de la Cirugía
Promociones de Egresados
Centro de Formación
Programa de Formación Cirugía-Hosp. Salvador
Centros Formadores Campus Oriente
Equipo Docente
Equipo de Residentes
Comité Editorial
Educación Continua
Presentaciones de Temas
Temas de Interés
Clasificación Clínica/Scores
Resúmenes Becados
Clasificaciones en Cirugía
Novedades
Noticias
Agenda de Congresos
Editorial
Multimedia
Banco de Imágenes
Selección de Videos
Inicio
Educación Continua
Presentaciones de Temas
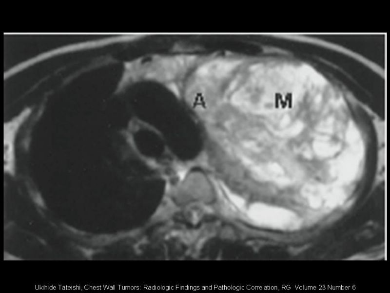
Tumores Primarios de Pared Torácica
Tumores Primarios de Pared Torácica
Especialidad:
Cirugía Torácica
| Autor: Dr. Rodrigo Subiabre F, MBA
Click sobre la diaposiita para ver presentación
×
;